Biologia-Geologia.com
Biología y Geología 1º ESO Biología y Geología 3º ESO Biología y Geología 4º ESO Anatomía Aplicada 1º Bach
Biología 2º Bachillerato Geología 2º Bachillerato Blog "Profedebiogeo"

Saltar la navegación

7.6.1. Lesiones cerebrales

Enfermedades cerebrales

Las principales enfermedades cerebrales son:


Cefalea o dolor de cabeza

La cefalea o dolor de cabeza es una de las enfermedades más comunes. Pueden tener distintas causas, como la disminución de la llegada de oxígeno al encéfalo, la lesión de células del encéfalo, inflamación del encéfalo o de las meninges, infecciones oculares, nasales, estrés, ansiedad, etc., aunque se pueden clasificar en:

  • Cefaleas primarias: La mayor parte de las cefaleas no suelen ser graves, aunque pueden ocasionar un dolor muy intenso.
    • Cefalea tensional: es la más frecuente. Genera la sensación de opresión en la cabeza.
    • Migrañas o jaquecas: dolor intenso que afecta sólo a un lado de la cabeza, y puede estar acompañada de náuseas y vómitos. Se produce por vasodilatación de los vasos sanguíneos de la cabeza.
  • Cefaleas secundarias: Aparece como consecuencia de otras enfermedades, como sinusitis, meningitis, un tumor, etc.

La mayor parte de las cefaleas no requieren tratamiento médico, pero si es necesario, se utilizarán analgésicos para la cefalea tensional y vasoconstrictores para las jaquecas.

Accidente cerebrovascular o ictus o infarto cerebral

El ictus la alteración más frecuente del encéfalo. Suele estar asociada a la hipertensión arterial producida por sedentarismo, tabaquismo, consumo de fritos, alcohol, drogas, o tener otras enfermedades, como obesidad o diabetes.

Los síntomas neurológicos (debilidad, parálisis, cefalea, dificultad para hablar o para ver, alteraciones de la sensibilidad, etc.) pueden ser transitorios, muy intensos o, incluso, mortales (sobre todo en hemorragias cerebrales).

Hay dos tipos de accidentes cerebrovasculares:

Derrame cerebral

En el derrame cerebral se produce una hemorragia cuando se rompe un vaso sanguíneo del cerebro, por lo que la sangre se filtra al tejido nervioso de alrededor y lo daña. Se suele producir por la rotura de un aneurisma, una dilatación patológica que se forma en la pared de un vaso sanguíneo en un punto donde la elasticidad de la pared del vaso es defectuosa.

Aneurisma cerebral
By en:National Institutes of Health [Public domain], via Wikimedia Commons

Curiosidad: Sharon Stone y Silvia Abascal.

Canción: Ictus (dibujos animados).

Isquemia cerebral

La isquemia cerebral se produce por una disminución del riego sanguíneo a una zona del encéfalo. La zona de tejido muerto o que se está muriendo se denomina infarto.

Las tres causas principales son:

  • La trombosis. Se forma un tapón, denominado trombo.

Vena en la que aparece un tómbolo taponándola y un émbolo desplazándose

By Blood_clot_diagram.png: en:User:Persian Poet Galderivative work: Aibdescalzo (Blood_clot_diagram.png) [CC-BY-SA-3.0, GFDL or GFDL], via Wikimedia Commons
Curiosidad: Jorge Sanz.
  • La embolia. La sangre desplaza el tapón, denominado émbolo, desde un vaso más grande, donde se ha formado hasta un vaso más estrecho, donde se deposita.
  • Arteriosclerosis. El depósito de grasas produce el engrosamiento de las paredes de los vasos sanguíneos, con lo que los canales se estrechan.

Aterosclerosis

By NHLBI [Public domain], via Wikimedia Commons

Cómo detectar los síntomas del ictus

Vídeo compartido a través de las redes sociales. Si aparecen estos síntomas hay que llamar a la ambulancia urgentemente para poder recibir atención médica lo antes posible.

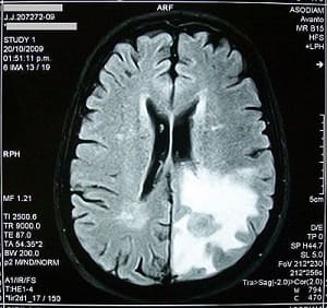
Tumores cerebrales

Un tumor cerebral se produce por el crecimiento incontrolado de una masa de células que crecen anormalmente dentro del cerebro.

 Tumor cerebral visto a través de una imagen electrónica

Traumatismo cranoencefálico cerrado

Son lesiones cerebrales producidas por impactos en la cabeza que no llegan a romper el cráneo.

Las contusiones son traumatismos craneoencefálicos cerrados que producen una lesión en el sistema circulatorio cerebral, dando lugar a un hematoma, con hemorragias internas en órganos o tejidos.

Las contusiones producidas por estos traumatismos se producen cuando el encéfalo se golpea violentamente dentro del cráneo. Las contusiones se producen con frecuencia en el lado opuesto del encéfalo donde se produce el golpe. La razón de estas lesiones, denominadas contragolpes, es que el impacto hace que el cerebro se golpee dentro del cráneo contra el otro lado de la cabeza.

La encefalopatía traumática crónica, antiguamente llamada demencia pugilística o “punch drunk syndrome”, es una enfermedad neurodegenerativa que se produce por concusiones cerebrales acumulativas y que lleva a la demencia y un deterioro intelectual general.

Una concusión es la pérdida inmediata del conocimiento acompañada de un periodo corto de amnesia, que se produce normalmente después de producirse un traumatismo craneoencefálico.

'There's an Injured Player Down on the Field' -- Shepherd (in blue) vs. Fairmont State at Ram Stadium Shepherdstown (WV) November 10, 2012
«There»s an Injured Player Down on the Field’ -- Shepherd (in blue) vs. Fairmont State at Ram 
Stadium Shepherdstown (WV) November 10, 2012 | Flickr: Intercambio de fotos. (s. f.).
Recuperado 6 de abril de 2013, a partir de http://www.flickr.com/photos/22711505@N05/8211050303/

Infecciones cerebrales

Hay muchos organismos, como virus, bacterias, hongos y otros parásitos que pueden causar infecciones en el cerebro y en la médula espinal. Algunas de las infecciones que pueden producir son:

Meningitis

La meningitis es una inflamación de las meninges, las membranas que envuelven y protegen el cerebro y la médula espinal. Puede estar causada por un virus o por una bacteria. Se trata de una enfermedad poco frecuente que puede ser grave pues, si no se trata rápidamente, la infección puede afectar al tejido nervioso y producir daños irreparables, pudiendo ser letal.



Encefalitis

La encefalitis es una inflamación del encéfalo.

Mielitis

La mielitis es la inflamación de la médula espinal.

Abcesos cerebrales

Los abcesos cerebrales se producen por la acumulación de pus como resultado de un infección, localizada y asociada con la destrucción del tejido.

Neurotoxinas

El sistema nervioso también se puede ver afectado por la exposición a determinadas sustancias tóxicas que pueden entrar en el organismo por las vías digestivas o respiratorias o a través de la piel. Por ejemplo, los metales pesados se pueden acumular en el cerebro y afectarlo de forma permanente, produciendo una psicosis tóxica (demencia crónica producida por una neurotoxina).

Otras veces, algunos de los fármacos que se emplean para tratar trastornos neurológicos han resultado tener efectos tóxicos, y los pacientes pueden adquirir un trastorno motor denominado discinesia tardía.

Algunas neurotoxinas son endógenas (producidas por el propio organismo), como por ejemplo, el organismo puede producir anticuerpos que atacan a componentes del sistema nervioso. La esclerosis múltiple, por ejemplo, es consecuencia del ataque de los anticuerpos a la propia mielina del organismo.

Factores genéticos

En ocasiones, durante la división celular puede haber problemas, y el óvulo fecundado puede acabar teniendo un cromosoma anormal o un número anormal de cromosomas normales, como por ejemplo, las personas con el síndrome de Down, que en el par de cromosomas 21, en lugar de tener dos cromosomas, tienen tres.

Otro ejemplo es la enfermedad de Huntington.

Si quieres más información, aquí tienes un enlace a la web de Down España.

Creado con eXeLearning (Ventana nueva)